HOME
医院案内
診療案内
インプラント治療
美しい歯を求めて
症例集
患者さんに向けて
予防
感染防止対策
search
メニュー開閉
70代男性
HOME
症例集
70代男性
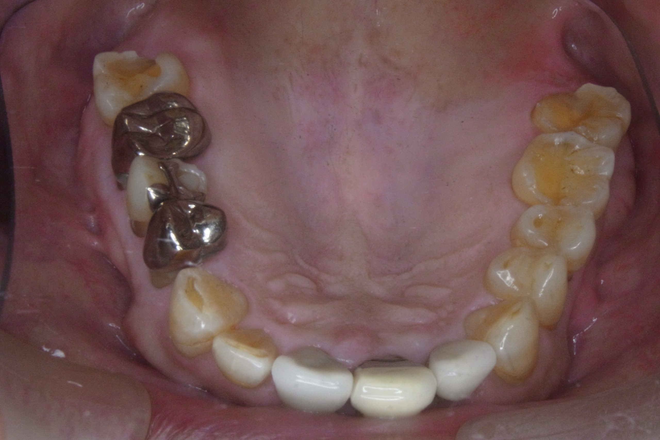
Before
歯がすり減ってしまい嚙み合わせが下がっています。
After
嚙み合わせを挙げる為に、ブリッジ等で被せ物をしました。何でも美味しく食べられるようになったとおっしゃっています。
60代女性